Zum Hauptinhalt springen

Parodontitis – eine der am weitesten verbreiteten Erkrankungen

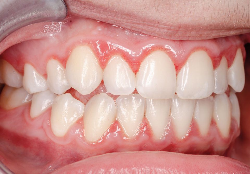
Wussten Sie, dass jeder 2. Erwachsene unter einer mehr oder weniger schweren Entzündung des Zahnfleischs leidet? Erste Anzeichen sind häufiges Zahnfleischbluten und Mundgeruch. Diese Erkrankung beginnt damit, dass die Zahnfleischmanschette um den Zahn anschwillt, sich durch die Entzündung zu lockern beginnt und häufig bei Berührung blutet. Ausgelöst wird dieser Prozess durch den Zahnbelag, die Plaque.

In der Plaque sitzen Unmengen von Bakterien. Einige produzieren Zellgifte und Enzyme. Wenn diese Bakterienarten die Oberhand gewinnen, lösen sie eine zunächst scheinbar „harmlose“ Zahnfleischentzündung (Gingivitis) aus. Das Zahnfleisch schwillt an, ist entzündlich gerötet und blutet schon beim Zähneputzen. Eine Gingivitis sollte jedoch niemals unbehandelt bleiben! Schon jetzt muss der Zahnarzt eingreifen. Mittels der Professionellen Zahnreinigung und der Umstellung der Putztechnik kann das Problem in diesem Stadium gelöst werden. Bleibt die Zahnfleischentzündung allerdings unbehandelt, kann die Plaque ungehindert weiter arbeiten, die Entzündung erweitert sich in die Tiefe, greift jetzt den kompletten Zahnhalteapparat an und löst eine Immunreaktion aus. Der Körper baut den erkrankten Knochen ab und ersetzt ihn durch Entzündungsgewebe.

Zwischen Zahn und Zahnfleisch entstehen so Zahnfleischtaschen, die weit über 7 mm tief gehen können, aber schon ab 3,5 mm als behandlungsbedürftig gelten. Sie stellen ein gefährliches Reservoir dar für schädliche Keime, die jetzt ungehindert den Kieferknochen angreifen und zum Zahnverlust führen können. Es sei denn Zahnarzt und Patient beginnen früh genug mit Gegenmaßnahmen. Sobald Verdacht auf eine Zahnfleischerkrankung besteht, werden Zähne und Zahnfleisch gründlich untersucht. Dabei werden mit einem speziellen Instrument die Tiefe der Zahnfleischtaschen gemessen und Röntgenaufnahmen ausgewertet. Aufgrund der Diagnose wird dann unter Berücksichtigung eventuell vorliegender Allgemeinerkrankungen ein individueller Behandlungsplan erstellt.

Geschlossene, nicht-chirurgische Zahnfleischbehandlung

Vor Beginn der eigentlichen Zahnfleischbehandlung (Parodontitis-Behandlung) muss zwingend eine besonders intensive professionelle Zahnreinigung erfolgen. Denn das Ziel ist die sogenannte „Full-mouth-desinfection“: Sichtbare Zahnoberflächen und schwer zugängliche Bereiche unterhalb des Zahnfleischsaumes müssen sorgfältig gereinigt werden. Zudem ist es wichtig, dass mit dem Patienten genau die Ursache seiner Erkrankung erörtert wird und die häuslichen Mundhygienegewohnheiten verbessert werden. 

Bei der anschließenden eigentlichen Parodontitis-Behandlung werden mittels diverser Techniken die Wurzeloberflächen unter örtlicher Betäubung gesäubert. So wird die Regeneration des Zahnfleisches gefördert und die Ursache für die Entzündung beseitigt. Kleine Empfindlichkeiten beim Kauen harter oder krustiger Nahrung klingen schnell wieder ab. Um möglichst alle bösartigen Erreger zu eliminieren, kann in Ausnahmefällen zusätzlich Antibiotikum verabreicht werden. In vielen Fällen geht das auch durch eine Lichtaktivierte Desinfektion (FotoSan), ohne Antibiotika und damit auch ohne Nebenwirkungen.

So bringen wir den Entzündungsprozess zum Stillstand und setzen das geschädigte Gebiss funktional und ästhetisch wieder instand. Um anschließend den erreichten gesunden Zustand zu bewahren, bieten wir unseren Patienten unser Prophylaxe-Konzept an.

Parodontitis – eine Risiko für die Gesamtgesundheit!

Eine solche Parodontitis bedeutet Stress für das Immunsystem. Daher geht es bei dieser Behandlung nicht mehr nur um den Erhalt von Zähnen: mittlerweile ist nämlich ein direkter Zusammenhang zwischen Parodontitis und zahlreichen weiteren Allgemeinerkrankungen festgestellt worden. Herzerkrankungen, Rheuma sowie vor allem Diabetes (!). Bei Schwangeren kann eine Parodontitis zu Frühgeburten  oder einem niedrigen Geburtsgewicht führen.

Da ein Parodontitispatient aus einer Zahnarztpraxis nie als geheilter Patient entlassen wird ist seine Mitarbeit bei der täglichen Zahnpflege und insbesondere der Zwischenzahnpflege enorm wichtig. Damit er nicht innerhalb weniger Jahre wieder an der gleichen Systematik erkrankt ist auch die professionelle Zahnreinigung für Parodontitispatienten ein absolutes MUSS.